Existe una variedad limitada de longitudes de catéteres en relación con los calibres disponibles. ¿Cuándo cortarlos?
VENTAJAS DEL USO DE LA ECOGRAFÍA APLICADA A LA TÉCNICA MICROSELDINGER EN EL PACIENTE NEONATAL
En los últimos años hemos asistido a la incorporación de diferentes avances técnicos en el ámbito del acceso vascular que han permitido aumentar la seguridad en el proceso de inserción de todos los catéteres vasculares, así como la disminución y el control de las...
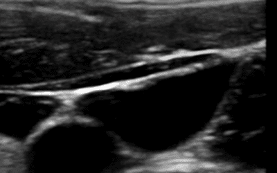
¿Cómo diferenciar el vaso arterial del vaso venoso ecográficamente en el paciente neonatal?
¿Cómo diferenciar el vaso arterial del vaso venoso ecográficamente en el paciente neonatal?
¿POR QUÉ UTILIZAR LA ECOGRAFÍA EN LA CANALIZACIÓN VENOSA CENTRAL?
En la actualidad, el uso de la ecografía como herramienta de soporte en el manejo del acceso vascular para el paciente adulto es una práctica habitual y segura. Existe un amplio consenso basado en la evidencia científica y, siendo considerada como una técnica de...
Gestión del capital venoso en neonatos: selección del catéter y calibre adecuado
Descarga en pdf Los diferentes avances tecnológicos, mejoras en tratamientos, así como el aumento en la calidad de los cuidados ofertados en las unidades neonatales han condicionado un aumento en las tasas de supervivencia y una disminución de las complicaciones...




