Para muchos equipos de acceso vascular, en los años 2000 formarse en ecografía suponía cierta dificultad ya que tener acceso a una formación completa y estructurada era difícil. Muchos profesionales han tenido que formarse con recursos limitados y en muchas ocasiones sin tutoría.
Hoy en día la ecografía es una herramienta completamente integrada en el mundo de los profesionales que se dedican al acceso vascular. Sin embargo, sigue siendo muy importante conocer las bases para conseguir mejores resultados durante y después de la inserción del acceso vascular.
Accesos Vasculares adulto
Conoce los productos relacionados con los accesos vasculares para adultos
En este artículo vamos a ver en qué ayuda conocer en detalle la formación de la imagen ecográfica repasando principios físicos del ultrasonido y su interacción con los tejidos.
Resumen del artículo:
- el ultrasonido tiene 4 características principales: la distancia que recorre la onda, el ciclo , que es cuando la onda atraviesa 2 puntos iguales en su recorrido, la longitud, distancia que recorre un ciclo y la amplitud de la onda.
- un ultrasonido cuya frecuencia (nº de ciclos en un segundo) es alta no recorre mucha distancia, es el caso de la sonda lineal usada en el acceso vascular
- el ultrasonido se propaga de una manera u otra en función de la densidad de los tejidos, la resistencia que tienen se llama impedancia
- en función de la impedancia y velocidad de propagación el ultrasonido puede atenuarse, sufrir un fenómeno de absorción, reflejarse o refractarse.
Características físicas del sonido
La ecografía emplea sonidos para obtener la imagen, por esto es importante conocer sus características para poder entender por qué vemos las imágenes en la forma que se representan en las pantallas de nuestros equipos.
El sonido es una onda mecánica, esto quiere decir que son cambios en las propiedades mecánicas, densidad y presión, y producen oscilaciones en los átomos del medio material que atraviesan, propagándose a otros átomos del medio. Para que estas ondas se produzcan, se requiere:
- Algo que produzca esas ondas (fuente, como los equipos de ecografía)
- Un medio acuoso y elástico donde se propaguen (el cuerpo del paciente)
Distancia
Podemos representar estas ondas en función de la distancia que recorren:

Ciclo
Cada vez que la onda atraviesa 2 puntos iguales en su trazado, forma un ciclo:

Longitud
La longitud de onda será la distancia que esa onda (se representa por la letra λ) recorre en cada uno de sus ciclos:

Periodo y frecuencia
El tiempo que tarda la onda en producir un ciclo completo, y en recorrer la distancia de su longitud de onda, se llama periodo. Si realizamos la inversa del periodo, obtendremos el número de ciclos que se producen en una unidad de tiempo, o frecuencia. Si esta frecuencia la expresamos en cuántos ciclos se producen en un segundo, lo llamaremos Herzios (Hz).
La frecuencia está en relación con la distancia que recorre el sonido y, por tanto, con la profundidad a la que podremos explorar el cuerpo.
A MAYORES FRECUENCIAS de ultrasonido,
MENOR PROFUNDIDAD de visión
El cuerpo humano es capaz de percibir sonidos de hasta 20.000 Hz. Los ultrasonidos que emplearemos en ecografía tienen frecuencias superiores a 1.000.000 Hz (1 MHz).
Amplitud
Volvamos un segundo a la onda mecánica del sonido. La amplitud del sonido es una medida de la variación máxima de desplazamiento de esa onda, y su unidad son los decibelios (dB). La amplitud está relacionada con la intensidad del sonido, y es clave en la interacción con el cuerpo del paciente.

Estos principios permiten entender por qué se requiere una sonda lineal cuya característica es la alta frecuencia: permite tener una buena definición de imagen alcanzando estructuras pocas profundas. En el caso de la ecografía abdominal por ejemplo, se requiere una sonda convexa, siendo de baja frecuencia sus ultrasonidos recorren entonces más distancia y permiten la visualización de estructuras y órganos profundos, pero con menos definición de imagen por el fenomeno de atenuación que veremos más adelante.
Formación de los ultrasonidos (el efecto piezoeléctrico)
Para que se generen los sonidos, necesitamos una fuente. Nuestra voz es la oscilación producida en el aire que sale de nuestros pulmones a través de las cuerdas vocales. Para generar el sonido de un violín, es la vibración de la cuerda lo que produce esa onda mecánica.
En el caso de los ultrasonidos, necesitaremos una fuente llamada cristal piezoeléctrico. Estos cristales tienen la propiedad de que, al recibir corriente eléctrica, se deforman y comprimen emitiendo ondas de muy alta frecuencia (los ultrasonidos), así como la inversa, generan un campo eléctrico al ser sometidos a deformación mecánica.
Emisión del ultrasonido
El cristal recibe electricidad, se deforma, y esa deformación produce el ultrasonido.

El ultrasonido viaja a través del medio (cuerpo del paciente) y genera ecos a medida que atraviesa el tejido, veremos más adelante cómo interacciona con el mismo.
Recepción del ultrasonido
El cristal recibe el eco del ultrasonido que ha enviado anteriormente, se deforma y genera un impulso eléctrico que puede detectarse.

En función de la intensidad del eco que impacta con el cristal se generan campos eléctricos de diferentes magnitudes que, mediante la informática, se pueden representar en un monitor y producen la imagen de ecografía tal y como la conocemos hoy en día.
Interacción con los tejidos
Impedancia de los tejidos
El ultrasonido, al atravesar el cuerpo, va a encontrarse con diferentes materiales (piel, grasa, músculo, sangres, hueso…) que van a ejercer una diferente resistencia a que se propague. Esta resistencia la llamaremos impedancia. La impedancia depende de la densidad del tejido.
La impedancia de cada material será diferente por sus diferentes densidades pero, a grandes rasgos, los sólidos (en especial los metales, como el calcio) ofrecen una resistencia más grande que los líquidos (sangre, orina) al paso del ultrasonido por su mayor densidad. El gas tiene un comportamiento particular, de forma que, a pesar de tener una impedancia muy baja (muy baja densidad), al no tratarse de un medio acuoso, transmite muy mal el ultrasonido.

La zona de unión entre dos tejidos o materiales con diferente impedancia la llamaremos interfase.
En ecografía, podemos distinguir las estructuras del cuerpo siempre que sean de impedancias diferentes (es decir, que exista una interfase entre ellas).
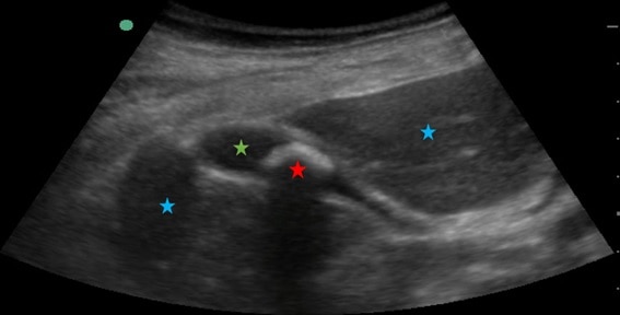
En la imagen siguiente, podemos distinguir el hígado (estrella azul, de una densidad determinada) de la vesícula (estrella verde, de un contenido líquido, de densidad menor) de la litiasis biliar (estrella roja, formada por calcio, de una densidad mucho mayor a las anteriores) porque entre cada una de estas estructuras se forma una interfase, al tener densidades (y por tanto impedancias) distintas.

Comportamiento del ultrasonido
Las cualidades de las interfases influyen en cómo se comporta la onda del ultrasonido al atravesarlas. El comportamiento del ultrasonido al atravesar las interfases puede ser de las siguientes formas.
Atenuación
El ultrasonido atraviesa un medio y va perdiendo energía. Esto hace que pierda amplitud y que los ecos que produzca sean cada vez más tenues.

Absorción
Esa energía que pierde el ultrasonido al atravesar el tejido se convierte en calor, imperceptible para el paciente (excepto en la retina, donde existe un riesgo teórico de lesión para el tejido, el ultrasonido se considera inocuo para el cuerpo humano).

Reflexión
Si el ultrasonido atraviesa una interfase fina y amplia, con densidades diferentes, se reflejará en su mayoría, produciendo un eco de gran intensidad, como puede ocurrir al encontrar la interfase entre músculo y hueso.
En la imagen siguiente, se puede apreciar el fémur de un paciente. El ultrasonido llega hasta la interfase del hueso (muy denso) con el tejido circundante (muy poco denso) y se refleja con una intensidad alta (y por eso se muestra más “blanco” en la pantalla, como luego veremos).

Sin embargo, si atraviesa una interfase menos definida, en la que las densidades son similares, se dispersará en muchas direcciones diferentes, produciendo un eco de baja intensidad (que se representarán más “grises” en la pantalla), como ocurre al atravesar el parénquima hepático, donde las interfases son de densidad muy similar.
Refracción
Si el ultrasonido atraviesa dos medios con una gran diferencia en su velocidad de propagación (por ejemplo, aire y pleura), la onda cambiará de dirección y se producirá refracción. Además de ese cambio de dirección, se producirán reflejos de esa nueva dirección que se representarán en la pantalla en lugares diferentes de su origen.

Conocer el comportamiento del ultrasonido en función de los tejidos atravesados es especialmente útil para evitar posibles errores de interpretación de la imagen y una mala elección del lugar de punción. Permite entender mejor qué está pasando en el momento del mapeo vascular pero también durante la inserción de la aguja en vena, lo cual conlleva a una mejor prevención del fracaso de colocación del acceso vascular.
Te puede interesar
FUNDAMENTOS DE ECOGRAFÍA EN LA CANALIZACIÓN DE PICCS Y MIDLINES
ECOGRAFÍA DOPPLER: PRINCIPIOS Y APLICACIONES BÁSICAS PARA EL ACCESO VASCULAR
¿POR QUÉ UTILIZAR LA ECOGRAFÍA EN LA CANALIZACIÓN VENOSA CENTRAL?
COLOCACIÓN DE PICC: EL MÉTODO ZIM Y LA TUNELIZACIÓN, 2 RECURSOS CLAVES PARA ASEGURAR SU ÉXITO
bilbiografía
- Zagzebski, Essentials of Ultrasound Physics, Edición Mosby – 1996
- Soni et al., Ebook Point of Care Ultrasound, Edicion Elsevier Health Sciences – 2019
- Díaz-Rodríguez et al., Metodología y técnicas. Ecografía: principios físicos, ecógrafos y lenguaje ecográfico, Grupo de Ecografía de Semergen – 2007
- Vargas et al., Principios físicos básicos del ultrasonido, sonoanatomía del sistema musculoesquelético y artefactos ecográficos – 2008







0 comentarios