Las guías de referencia en accesos vasculares no dejan lugar a duda: es fundamental colocar la punta de un acceso vascular central en la posición correcta. De lo contrario el profesional sanitario corre el riesgo de ver aparecer complicaciones que pueden poner en peligro el tratamiento en curso e incluso la salud del paciente.
Accesos Vasculares adulto
Conoce los productos relacionados con los accesos vasculares para adultos
Para minimizar estos riesgos y comprobar con precisión la posición de la punta del catéter contamos con cuatro métodos:
- la placa
- la fluoroscopia
- la ecocardiografía
- el sistema ECG con electrodo intracavitario.
Es necesario conocer las ventajas y los inconvenientes de cada uno para poder aplicar el que más se adecue a la practica diaria. En este artículo vamos explicarte las grandes características de cada método y sus pros y contras.
Por si no puedes dedicarle mucho tiempo, te hemos preparado un resumen aquí:
- la radiografía: método totalmente desaconsejado por las guías de referencias por ser un método muy poco preciso, lento (post procedimental) y perjudicial (irradiación)
- la fluoroscopia: método preciso, basado sobre la emisión de rayos X es también perjudicial (irradiación) y tiene un coste muy elevado (sala quirofanizada, equipo de especialistas)
- la ecocardiografía: es el método más preciso de todos, existen 2 tipos, la transtorácica y la transesofágica (la más precisa de las 2). Supone una larga curva de aprendizaje.
- el ECG: método muy preciso, de fácil aplicación pero no aplicable en pacientes cuyo trazado no tiene ondas P.
la radiografía
En el hospital es un recurso de fácil alcance, ya sea en radiología o a pie de cama.
Su validación se basa sobre la interpretación de la posición del catéter gracias a unas referencias anatómicas no claramente visibles en la imagen.

Con este método no se ve la unión cavo-auricular y, por lo tanto, es subjetiva.
Esto se muestra en el estudio “Optimizing the patient positioning for PICC line tip determination” (Harako ME1, Nguyen TH, Cohen AJ), en el que se prueba que existe una diferencia de interpretación de una placa de posición de un acceso vascular cuando distintos profesionales la analizan.
La longitud de la Vena Cava Superior puede variar bastante de un paciente a otro: entre 4,4 y 10 cm. Y esta es solo una de las estructuras anatómicas que varían de un paciente a otro, entre otras muchas.
Además, usando una placa, se irradia al paciente y se puede retrasar el procedimiento o incluso el principio del tratamiento.
Por todas estas razones, la placa es un método totalmente desaconsejado por las recomendaciones internacionales (INS, GAVeCeLT).
La fluoroscopia
Este método, cuyo funcionamiento está basado en los rayos X, se usa principalmente en el servicio de radiología intervencionista.
Realizando una placa en tiempo real da una imagen en continuo, en vivo, del paciente. Se puede visualizar la inserción del catéter (navegación) y localizar la punta del catéter para dejarla en el sitio correcto.
La fluoroscopia es considerada un método suficientemente preciso para posicionar el catéter central. Sin embargo, sigue teniendo un coste muy elevado: tecnológico, aparatoso, con necesidad de una sala y personal formado.
Se recomienda su uso únicamente en casos especiales ya que supone una irradiación que se aconseja evitar(INS).

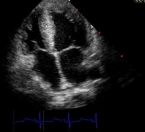
La ecocardiografía
Existen 2 tipos de ecocardiografía:
- transesofágica (ETE)
- transtorácica (ETT)
La ecocardiografía TransEsofágica
La ETE es muy desagradable para el paciente: requiere fibroscopia digestiva para poder colocar la sonda cerca del corazón desde dentro. Además, requiere el uso de un quirófano y el equipo formado para ello. Con lo cual se puede aplicar a muy pocos pacientes.
La ecocardiografía Transtorácica
Comparando con la ETE, la ETT no es invasiva y depende más del método usado y del profesional. Se coloca la sonda de ecografía en el tórax del paciente a nivel del esternón para poder visualizar las 4 cámaras cardiacas.
Para poder determinar con seguridad la posición de la punta del catéter central mediante ecocardiografía se requiere un alto nivel de conocimiento en imágenes ecográficas y su curva de aprendizaje es larga.
puntos comunes y diferencias entre las 2
No existe una estandarización de las técnicas, sin embargo, hoy por hoy la ecocardiografía es el método más preciso para localizar la punta de una vía central, superando la precisión de la fluoroscopia.
En cuanto al coste, un ecógrafo tiene un precio elevado, aunque muy lejos de la inversión que supone un fluoroscopio.
Ambos tipos de ecocardiografía son técnicas seguras. La ETE es la más precisa de las dos.

El sistema ECG
Aunque se amortiza en un periodo relativamente corto, este sistema supone un gasto inicial importante que resulta caro comparado, por ejemplo, con una única placa.
Como cualquier sistema ECG, si se encuentra cerca de aparatos eléctricos, la imagen de los trazados puede llevar artefactos.
Con este método, colocamos los electrodos en el paciente de la misma manera que para cualquier monitorización estándar.

El electrodo intracavitario (la pinza roja o amarilla se conecta al catéter) permite localizar la punta del catéter de forma precisa gracias a la interpretación de la onda P.

La localización de la punta del catéter PICC con sistema ECG es la más adecuada por las siguientes razones:
- Fácil de usar: monitor ECG estándar y uso de pocos parámetros
- Método seguro: no supone ningún riesgo adicional respecto a la colocación del catéter en sí
- Fiable y objetivo: se observa los cambios de la onda P, la técnica es la misma para todos
- Rápido y barato: es un método intraprocedimental (la INS desaconseja un procedimiento posterior) y el sistema, a la larga, resulta muy asequible en cuanto a precio.
No usar correctamente un método de localización o no utilizar el método correcto, supone consecuencias negativas tanto para el profesional como para el paciente. En el caso del PICC se ha demostrado que existe un riesgo de:
- Trombosis, cuando es demasiado corto
- Arritmia, cuando es demasiado largo
Bibliografía
- Complicaciones del catéter según la posición de la punta Petersen et al, Am J Surg. 1999 Jul;178(1):38-41 Puel V et al, Cancer. 1993 Oct 1;72(7):2248-52 Eastridge et al, J Clin Oncol. 1995 Jan;13(1):233-8
- Cardiac Arrhythmias Resulting from a PICC: Two Cases and a Review of the Literature. Gapp J1, Krishnan M1, Ratnaraj F1, Schroell RP1, Moore D2. Cureus. 2017 Jun 3;9(6):e1308. doi: 10.7759/cureus.1308. http://www.ijccm.org/viewimage.asp?img=IJCCM_2010_14_4_180_76081_f6.jpg Aslamy et al, 1998 Sep;114(3):820-6 Chu et al, Anesth Analg.2004 Apr;98(4):910-4 Wirsing et al, Chest. 2008 Sep;134(3):527-33 Emerg Radiol.2004 Feb;10(4):186-9. Epub 2003 Dec 10
- http://www.medyrad.net/rayos-x-con-fluoroscopia
- http://efhre-institutes.com/web/estudios/posgrados/diploma-universitario/diploma-universitario-en-ecografia-basica-de-urgencias-y-emergencias-medicos/ecocardio/
- Jounal of Infusion Nursing : infusion therapy standards of practice.
- Gebhard RE, Szmuk P, Pivalizza EG, Melnikov V, Vogt C, Warters RD. The accuracy of electrocardiogram-controlled central line placement. Anesth Analg 2007; 104: 65-70.
- Pittiruti M, Bertollo D, Briglia E et al. Intracavitary ECG method for positioning the tip of central venous catheters: results of an Italian multicenter study. J Vasc Access 2012; 13(3): 375-65.
- Pittiruti M, La Greca A, Scoppettuolo G. The electrocardiographic method for positioning the tip of central venous catheters. J Vasc Access 2011; 12(4): 280-291.
- Rossetti F, Pittiruti M, Lamperti M, Graziano U, Celentano D, Capozzoli G. Intracavitary ECG method for positioning the tip of central venous access devices in pediatric patients: results of an Italian multicenter study. J Vasc Access 2015; 16 (2): 137-143






Buenas noches
Me gustaría obtener mas información sobre visualización de picc en neonatos. y pediátricos
Gracias.
Saludos Eulogia,
Puedes encontrar más información relacionada con PICCs Neonatales y Pediátricos en nuestro blog (poniendo en el buscador la palabra PICC) y en e apartado de formación de Campus Vygon.Te facilitamos un enlace que puede ser de tu interés: https://formacion.campusvygon.com/es/cursos/canalizacion-venosa-central-ecoguiada-en-pediatria-6?edicion=9&tab=info
Muchas gracias por tu comentario 🙂
Excelente articulo
Bien