En el acceso vascular, la identificación de los vasos mediante ecografía se hace con un método directo basada en 2 pilares: la compresión de los vasos y la pulsatilidad. En la mayoría de los casos, son suficientes para poder distinguir claramente una vena de una arteria.
En ocasiones es posible que sea difícil determinar el tipo de vaso que hay en la pantalla del ecógrafo a pesar de usar este método de reconocimiento. Es especialmente el caso en pacientes pediátricos. En este contexto el modo Doppler es de gran utilidad ya que permite conocer el sentido del flujo del vaso interrogado. Sin embargo, un uso inadecuado de este modo puede llevar a conclusiones erróneas a la hora de hacer un estudio vascular. Es de suma importancia conocer en detalle cómo funciona este modo y qué parámetros intervienen para asegurarse de que el vaso elegido sea el correcto para la colocación de un catéter .
Accesos Vasculares adulto
Conoce los productos relacionados con los accesos vasculares para adultos
En este artículo veremos:
- los comandos que son imprescindibles conocer para usar el Doppler de forma adecuada
- qué errores se suelen cometer respecto a los parámetros del ecógrafo que puede llevar a una interpretación errónea de la imagen ecográfica con este modo.
Resumen del post:
- Con el Doppler se identifica un vaso gracias al sentido del flujo respecto al transductor. Para poder identificarlo de forma adecuada es imprescindible que el ángulo de insonación sea ≤60º. Para ello, se tiene que usar el comando Steer que permite ajustar este ángulo cuando existen limitaciones de forma manual
- Los 2 modos principales usados en el acceso vascular son el modo Doppler pulsado, que es una representación gráfica del flujo y el modo Doppler color, que representa con colores los flujos (azul cuando el flujo se aleja y rojo cuando se acerca).
- Los errores de interpretación se pueden deber a un ángulo de insonación incorrecto, una frecuencia de repetición de pulsos inadecuada y un filtro de pared inapropiado.
1. ángulo de insonación: la importancia dEL COMANDO STEER
La variación doppler
El efecto Doppler nos permite, a través de los fenómenos físicos que se producen al insonar un cuerpo en movimiento, nos permite aclarar la velocidad y el sentido de un flujo.
En el cuerpo humano, son los hematíes los cuerpos que se acercan o se alejan de la sonda del ecógrafo (que hace las veces de observador).
De esta forma, cuando el hematíe se acerca al transductor diremos que tiene una variación Doppler positiva y, si se aleja del transductor, tendrá una variación Doppler negativa.

ángulo de insonación
Lamentablemente, en el cuerpo humano, no podemos posicionar el transductor “dentro” de la vena del paciente, para alinearnos completamente con la dirección del flujo de los hematíes, de forma que se produce siempre un ángulo de insonación.
Este ángulo influirá en nuestra capacidad de poder visualizar la variación Doppler del flujo, de forma que esta, estará representada completamente si es completamente paralelo a la dirección del flujo. Será imposible de evaluar si es perpendicular a la dirección del flujo.
Este aspecto es importante de recordar que, cuando interrogamos una vena o una arteria en un corte transversal, el sentido del flujo es completamente perpendicular a nuestra sonda, y no debemos emplear el Doppler en estos cortes.
En la imagen se representa la sonda, cortando de través una vena, por lo que el ángulo de insonación es exactamente de 90º. Por encima de 60º, el ángulo de insonación hace imposible detectar la variabilidad Doppler, por lo que pudiera no representar los flujos adecuadamente.
Para poder corregir y minimizar este ángulo, podemos intentar mover la sonda para obtener un menor ángulo de insonación, pero esta maniobra tiene un claro límite en la anatomía del paciente.
el comando steer
Los ecógrafos pueden modificar el cristal desde el que interrogan con el modo Doppler, en un comando llamado habitualmente “Steer”, de forma que puede intentar optimizarse ese ángulo.
En la figura siguiente vemos diferentes ángulos del cristal o Steer, que pueden ayudar a minimizar el ángulo de insonación respecto a la dirección del flujo. Pero sigue sin ser perfecto, por lo que podremos modificar, manualmente, el ángulo de la muestra, dentro de esa línea de insonación.

Habitualmente, la línea del Doppler se representa con una “caja” o ROI (Region Of Interest) en la mitad, que podemos mover para interrogar un lugar en concreto de la pantalla. En este ROI se puede pedir que el ecógrafo modifique aún más el ángulo de insonación. Es imprescindible controlar que dicho ángulo no sea superior a +60º o -60º.
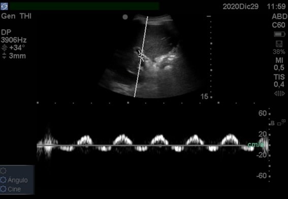
En esta imagen del hígado, puede verse la línea del Doppler, con su ROI en la mitad, en donde hay una línea con una cierta angulación que nos permite perfeccionar el ángulo de insonación para colocarnos perfectamente paralelos al flujo de la vena (en este caso, la vena porta). En la esquina superior izquierda de la pantalla se aprecia el ángulo corregido, en este caso +34º.

Para añadir complejidad a este aspecto, en el cuerpo humano, las venas no son rectilíneas, si no que habitualmente trazan curvas . A pesar de que los hematíes mantengan el mismo sentido de flujo y la misma velocidad, en función de dónde coloquemos al “observador” (la sonda), vamos a obtener diferentes espectros completamente diferentes.
En la imagen se aprecia cómo, en función de la posición relativa del transductor respecto de la vena (curva) el flujo que capta el ecógrafo puede ser “hacia” la sonda, completamente plano y “alejándose” de la sonda respectivamente. Cuando el flujo se acerca, se representa en la parte superior a la línea de base y, cuando el flujo se aleja, se representa por debajo de la línea de base.

2. MODOS DOPPLER QUE SE PUEDEN USAR
MODO DOPPLER PULSADO
El Doppler pulsado es la representación gráfica de la velocidad y el sentido del flujo. Cuando activemos el modo Doppler pulsado en nuestro ecógrafo, aparecerá la línea de insonación (cuyo ángulo podremos modificar ligeramente mediante el comando “Steer”) y el ROI (la “caja” donde tomará la muestra el ecógrafo para representar el flujo).
Podremos modificar el tamaño del ROI (puede tener sentido en la evaluación de fístulas arteriovenosas, por ejemplo) y podemos corregir el ángulo de insonación como hemos visto anteriormente.
Dentro de la pantalla aparecerán dos escalas y una línea de base. La escala vertical es la velocidad en cm/s habitualmente.
MODO DOPPLER COLOR
El Doppler color es una modificación del Doppler pulsado, de forma que el ecógrafo es capaz de representar los sentidos y las velocidades, de forma semicuantitativa, en un área de la imagen.
Este modo combina la imagen en modo B con este “mapa de colores”. Por acuerdo, se representa en color rojo los flujos que se acercan al transductor y en azul los que se alejan. Es decir, el color del que se rellene la estructura vascular no es indicativo del tipo de vaso que es (arteria o vena).
¿Quieres conocer las bases del modo Doppler?
3. ¿QUÉ ES LA FRECUENCIA DE REPETICIÓN DE PULSOS?
Imaginemos que somos unos fotógrafos deportivos y estamos cubriendo una carrera de la que queremos capturar el momento exacto en el que el atleta ganador cruza la línea de meta (la “foto finish”). En esta carrera compiten una tortuga (velocidad muy lenta), un conejo (velocidad rápida) y Usain Bolt (velocidad extraordinariamente rápida).

Si nuestra cámara fuera una cámara Polaroid® , de aquellas en las que, inmediatamente tras el disparo imprimía la foto revelada, pero no podía disparar una nueva foto hasta después de finalizar la impresión, sólo podríamos capturar la “foto finish” en el caso de que la tortuga fuera la ganadora.
En el caso de que nuestra cámara fuera una cámara réflex, que dispara de una forma automatizada rápidamente, podríamos capturar el momento en el que el conejo cruza la línea de meta, pero probablemente Usain Bolt sea demasiado rápido y no conseguiríamos fotografiarlo.
Si tenemos una cámara de vídeo en vez de una de fotos, en la que se grabe de forma continua la carrera, podremos grabar a Usain Bolt llegando y, posteriormente, seleccionar el fotograma donde aparece cruzando la línea de meta.
La cámara Polaroid® es un modo Doppler (pulsado o color) con frecuencia de repetición de pulsos lenta. La cámara réflex sería un modo Doppler con frecuencia de repetición de pulsos más rápida. La cámara de vídeo sería un modo Doppler continuo.
FENOMENO DE ALIASING
Los modos Doppler pulsado y Doppler color son modos en los que existe una frecuencia de repetición de pulsos, lo que supone un límite en la velocidad máxima que podemos detectar. Cuando esta velocidad se supera, tendremos un artefacto de este modo que se llama aliasing.
Esto ocurre cuando la variabilidad Doppler (que depende de la velocidad del cuerpo en movimiento) es igual o superior a la frecuencia de repetición de pulsos, que es el límite de detección (o límite de Nyquist).
4. CAUSAS DE LA INTERPRETACIÓN ERRONEA DEL FLUJO EN EL DOPPLER COLOR
En contra de la creencia extendida entre los sanitarios, la utilidad del Doppler color es muy limitada en acceso vascular, dadas las múltiples posibles circunstancias que pueden hacer que obtengamos un mapa de color que no refleje el flujo real de la estructura. Vamos a ver algunas de ellas.
Ángulo de inclinación incorrecto
Si obtenemos un ángulo de inclinación incorrecto como, por ejemplo, tendríamos en un corte transversal de una vena que, como se ha explicado anteriormente, la dirección del flujo es completamente perpendicular al ángulo de insonación y puede que no seamos capaces de detectar la variabilidad Doppler del flujo de la vena. Por lo que se obtendría un mapa menos coloreado y se puede extraer la conclusión de que no tiene flujo.
Frecuencia de repetición de pulsos inapropiada
La imagen de Doppler color se construye de la misma forma que el Doppler pulsado. Como se ha descrito anteriormente, el ecógrafo envía pulsos repetidos en una frecuencia determinada. Si interrogamos una vena (flujos lentos) con una frecuencia de repetición de pulsos alta, el flujo de la vena podría no quedar representado y confundirnos al pensar que no existe circulación en esa área.
Es importante fijarse en las cifras de la escala adyacente en el modo Doppler color, en el que vemos las velocidades máximas en centímetros por segundo. A mayor velocidad máxima, menor capacidad de detectar flujos más lentos.
Filtro pared inapropiado
La imagen del modo Doppler no solo se obtiene del movimiento de fluidos como la sangre. También existen señales de baja intensidad que se producen por los movimientos de estructuras adyacentes, como puede ser la pared del vaso o el miocardio.
El ecógrafo tiene un software, similar a los filtros de sonido de un equipo de un estudio de grabación de música, que permite “filtrar” estas señales de baja intensidad.
Habitualmente, este parámetro está optimizado para una determinada indicación en el tipo de examen o “preset” que se elija. Podemos encontrarnos que esté configurado un filtro de pared muy bajo y capture la señal del movimiento de las paredes vasculares y facilitar el error al concluir que una vena realmente tiene flujo cuando no es así.
El método por identificación directa como indicado en la table siguiente sigue siendo la forma más fiable de determinar si un vaso es venoso o arterial.

El uso del modo Doppler puede tener sus ventajas cuando la identificación de vasos no está clara. Pero es importante conocer a fondo los parámetros relacionados con este modo para no llegar a una mala elección de la vena y del lugar de punción en general, lo cual podría perjudicar al paciente generando complicaciones posteriores.
Te puede interesar
ECOGRAFÍA EN EL ACCESO VASCULAR: ¿QUÉ MEJORA APORTA SABER CÓMO SE FORMA LA IMAGEN?
MÉTODO RAPEVA EN ECOGRAFÍA: VALORACIÓN VENOSA Y TÉCNICA DE PUNCIÓN
FUNDAMENTOS DE ECOGRAFÍA EN LA CANALIZACIÓN DE PICCS Y MIDLINES
COLOCACIÓN DE PICC: EL MÉTODO ZIM Y LA TUNELIZACIÓN, 2 RECURSOS CLAVES PARA ASEGURAR SU ÉXITO
bibliografía
- Paola Paolinelli, Ecografía Doppler: Principios y aplicaciones, Revista médica Clínica Las Condes, Vol.15 nº2 – 2004
- Alan Dubbins. Clinical Doppler Ultrasound. Harcourt Publishers Limited, 73-101 – 2000
- Wilfredo Calcina, Principios físicos de ecografía doppler, Slideshare 2018 (consulta el 1 de marzo de 2021)
- Soni et al., Ebook Point of Care Ultrasound, Edicion Elsevier Health Sciences – 2019







Genial la explicación
Muy bueno por que se evita muchos eventos adversos
Es muy bueno evita uchos eventos adbersos