En los últimos años hemos asistido a la incorporación de diferentes avances técnicos en el ámbito del acceso vascular que han permitido aumentar la seguridad en el proceso de inserción de todos los catéteres vasculares, así como la disminución y el control de las posibles complicaciones asociadas a los diferentes catéteres vasculares.

Entre los más destacados encontramos el uso de la ecografía vascular y los sistemas de microseldinger aplicado a los diferentes tipos de catéteres.

Ecografía
Las principales ventajas de esta tecnología las podemos abordar desde los siguientes puntos clave.

La valoración del capital venoso:
Una de las indicaciones principales del uso del ecógrafo en el campo del acceso vascular consiste en la previsualización de las características anatómicas del territorio vascular. En esta valoración y visualización del capital venoso, se recomienda desarrollar una técnica de exploración vascular sistematizada. Protocolos como RaCeVa o RaPeVa nos permiten visualizar los diferentes accesos vasculares en sus diferentes localizaciones e identificar sus características.
la punción ecoguiada:
Tras la implantación del catéter podemos realizar la comprobación de su posición mediante la visualización del mismo, así como identificar posibles complicaciones potenciales que podrían aparecer durante el desarrollo de la terapia. Al tratarse de una herramienta no invasiva, inocua y de uso a pie de cama para el paciente nos permite disponer de una valiosa herramienta de monitorización in situ del correcto funcionamiento de los dispositivos vasculares.
La valoración del posicionamiento del catéter:
Tras la implantación del catéter podemos realizar la comprobación de su posición mediante la
visualización del mismo, así como identificar posibles complicaciones potenciales que podrían
aparecer durante el desarrollo de la terapia. Al tratarse de una herramienta no invasiva, inocua
y de uso a pie de cama para el paciente nos permite disponer de una valiosa herramienta de
monitorización in situ del correcto funcionamiento de los dispositivos vasculares.
Microseldinger
El desarrollo e incorporación de los sistemas de microseldinger (o Seldinger modificado o
micropunción) como técnica de inserción aplicada en los diferentes tipos de catéter vasculares
han podido ampliar las ventajas en los siguientes puntos.

Técnica de punción
Aumentan las tasas de acierto global y las tasas de acierto al primer intento, sin presentar un aumento en el tiempo del desarrollo de la técnica de canalización siempre que el operador disponga de experiencia en su uso.
Reducción de las complicaciones

Los kits de microseldinger nos permiten disponer de introductores de menor calibre, guías cortas de menor calibre y más flexibles que minimizan las posibles lesiones endoteliales producidas durante la punción y canalización del vaso, así como el desarrollo de coágulos.
Además, al permitir una técnica menos invasiva y limitar el número de punciones, el dolor generado durante elprocedimiento al paciente y las complicaciones derivadas de este a corto y largo plazo se reducen.
El empleo de dispositivos introductores pequeños y ajustados a las características del paciente facilita la
canalización de venas de difícil acceso y venas de mayor profundidad.
Por último, la aplicación de esta técnica se asocia a un menor número de intentos de punción que minimiza el riesgo de pérdida de integridad del capital venoso.
DESARROLLOS TECNOLÓGICOS PARA ASEGURAR LAS VENTAJAS
Con el fin de obtener estas ventajas contrastadas en el manejo vascular en el paciente adulto, tecnológicamente se han desarrollado adecuaciones de estos sistemas para poder ser aplicados al paciente pediátrico y neonatal; las podemos observar específicamente en el uso ecográfico con la aparición de sondas lineales de tamaño y peso más reducidos, frecuencias más altas y ecógrafos que permiten optimizar el trabajo en territorios más superficiales <2cm.
Sistemas de microseldinger
Por lo que respecta a las sistemas de microseldinger ha sido posible adecuar los calibres, incluso para el paciente neonatal, llegando a poder utilizar introductores de aguja de 24G, guías de nitinol de 0.3mm y microintroductores pelables de 20G que permiten insertar catéteres de 1 y 2 Fr.
A pesar de ello, la evidencia científica actual disponible en el paciente pediátrico y más concretamente en el paciente neonatal es escasa a causa de las limitaciones y dificultades propias de este tipo de pacientes. Sin embargo, en la actualidad, empezamos a encontrar tímidamente estudios de diferentes colectivos que evidencian dichas ventajas en este tipo de pacientes incluso con resultados semejantes a las series de paciente adulto, siempre asociados a una correcta formación y al desarrollo de las técnicas de inserción por operadores expertos.
El paciente neonatal que precisa de accesos vasculares supone uno de los retos más complejos debido a los pequeños calibres disponibles, un capital venoso frágil y fácilmente deteriorable, así como la presencia de una mayor tasa de complicaciones, principalmente relacionada con la tasa de infección asociada a catéter, más alta que en cualquier otro rango de edad. Es por ello que el paciente neonatal precisa del uso de las mejores tecnologías disponibles aplicadas por operadores expertos con la finalidad de minimizar sus complicaciones.
Ventajas de la aplicación de la técnica microseldinger ecoguiada
El soporte de la ecografía aplicada en el desarrollo de los diferentes pasos de la técnica de microseldinger hace que la técnica de inserción de los catéteres cumpla los requisitos de seguridad más altos actualmente disponibles. Para su aplicación en el paciente neonatal es preciso conocer perfectamente el desarrollo de los diferentes pasos de la técnica de inserción, así como algunas de las peculiaridades características de este tipo de pacientes.
A continuación, describiremos aquellos puntos en los que la ecografía nos ofrece las mayores ventajas durante la implantación de los catéteres mediante la técnica de microseldinger con algunos ejemplos de imágenes reales.

¿Cómo llevar a cabo la Ténica Microseldinger o Seldinger modificada?
Previsualización del capital venoso
Durante el desarrollo sistematizado de una exploración vascular nos permitirá seleccionar el mejor vaso disponible para las necesidades terapéuticas y que mejor se adapte al tipo de catéter que queremos implantar. Esta valoración será siempre proactiva y las características vasculares del paciente serán las que determinen finalmente la posibilidad de implantar el catéter deseado.
En el paciente neonatal podemos encontrar que los introductores utilizados para la implantación de los catéteres epicutáneos mediante técnicas de punción directa son de mayor calibre, lo que puede suponer una dificultad asociada inversamente proporcional al tamaño del vaso objetivo.

En aquellos pacientes con un diámetro vascular <1.5mm es probable que se precise un mayor número de punciones mediante la utilización de introductores de 19-20G, por lo que este tipo de pacientes pueden beneficiarse de una mayor tasa de acierto mediante la utilización de sistemas de microseldinger neonatales.

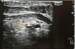
Canalización ecoguiada
La canalización ecoguiada neonatal precisa de una técnica dinámica con seguimiento de la punta de la aguja, ya que los riesgos de punción accidental de los territorios adyacentes son mucho más altos que en cualquier otro tipo de paciente.
El uso de la visualización ecográfica de la canalización se puede desarrollar en cualquiera de sus planos (eje transversal o eje longitudinal) dependiendo de la destreza y las preferencias del operador, pero es común el desarrollo mediante eje transversal (o fuera de plano) de las punciones en territorios periféricos debido al menor espacio y la mayor dificultad para la visualización completa de la trayectoria del vaso. En el caso de accesos centrales, como es el caso del tronco braquiocefálico, el eje longitudinal (o en plano) es uno de los recursos más utilizados para evitar el riesgo de punción a doble pared.
Mediante esta técnica se asegura la correcta canalización del vaso objetivo y se evita la punción accidental de vasos arteriales, nervios o tejidos adyacentes. El desarrollo de la técnica ecoguiada dinámica permite aumentar las tasas de acierto y minimizar los daños producidos al vaso.


PROGRESIÓN DE LA GUÍA
Una vez canalizado el vaso y posterior progresión parcial de la guía debemos realizar la valoración ecográfica que nos permita comprobar y asegurar la inserción en el vaso objetivo, previo a la inserción del microintroductor con cánula pelable.
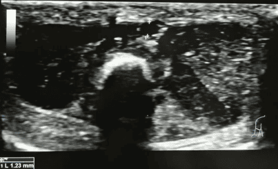
En la siguiente imagen de la izquierda podemos observar la colocación del transductor en plano longitudinal sobre la guía de nitinol en un neonato de 1300g. En la imagen ecográfica podemos observar la guía hiperecogénica en el interior de la luz del vaso corroborando la correcta canalización y permitiendo progresar al siguiente paso de la técnica.


Una vez canalizado el vaso y posterior progresión parcial de la guía debemos realizar la valoración ecográfica que nos permita comprobar y asegurar la inserción en el vaso objetivo, previo a la inserción del microintroductor con cánula pelable.
En la siguiente imagen de la izquierda podemos observar la colocación del transductor en plano longitudinal sobre la guía de nitinol en un neonato de 1300g. En la imagen ecográfica podemos observar la guía hiperecogénica en el interior de la luz del vaso corroborando la correcta canalización y permitiendo progresar al siguiente paso de la técnica.
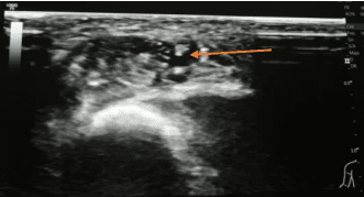
En aquellos casos de mayor complejidad en los que podamos dudar de la canalización accidental del vaso arterial podemos realizar una visualización en plano transversal. Este plano nos permitirá visualizar un punto hiperecogénico correspondiente a la guía metálica en el interior de la luz del vaso canalizado. De manera habitual podemos encontrar la imagen de la guía reposada en la zona inferior de la luz del vaso.
En las siguientes imágenes podemos observar la guía metálica en el interior de la luz del vaso izquierdo y posterior identificación del vaso arterial en la zona axilar mediante el uso del Doppler color. Esta simple comprobación nos permite asegurar la correcta canalización del vaso venoso con datos objetivos.




Mediante estas comprobaciones podemos confirmar el correcto desarrollo de la técnica de canalización para, posteriormente, proceder a la dilatación del punto de inserción y su trayecto, mediante la inserción del microintroductor con cánula pelable a través de la guía, en el interior de la luz del vaso con la máxima seguridad.

Comprobación del catéter
Tras la inserción del catéter y posterior retirada de la cánula pelable podemos chequear el trayecto del catéter en el interior del vaso y realizar la valoración de la situación de la punta del catéter.

BIBLIOGRAFÍA
- Barone G, Pittiruti M, Biasucci DG, Elisei D, Iacobone E, La Greca A, Zito Marinosci G, D’Andrea V. Neo-ECHOTIP: A structured protocol for ultrasound-based tip navigation and tip location during placement of central venous access devices in neonates. J Vasc Access. 2021 Ap5:11297298211007703.
- Barone G, D’Andrea V, Vento G, Pittiruti M. A Systematic Ultrasound Evaluation of the Diameter of Deep Veins in the Newborn: Results and Implications for Clinical Practice. Neonatology. 2019;115(4):335-340.
- Pittiruti M. Ultrasound guided central vascular access in neonates, infants and children. Curr Drug Targets. 2012 Jun;13(7):961–9.
- ACCESO VASCULAR ECOGUIADO EN NEONATOLOGÍA. Documento de Consenso del Grupo de
- Trabajo de Ecografía de la Sociedad Española de Neonatología. ACCESO VASCULAR ECOGUIADO EN NEONATOLOGÍA CANALIZACIÓN VENOSA CENTRAL Y CANALIZACIÓN ARTERIAL. v.16/10/2021
- ACCESO VASCULAR ECOGUIADO EN NEONATOLOGÍA. Documento de Consenso del Grupo de
- Trabajo de Ecografía de la Sociedad Española de Neonatología. ACCESO VASCULAR ECOGUIADO EN NEONATOLOGÍA CANALIZACIÓN CENTRAL DE ACCESO PERIFÉRICO (PICC). v.16/10/2021
- Gibb JJ, MacLeod R, Mahoney L, Elanjikal Z. Modified Seldinger technique for neonatal epicutaneo-caval catheter insertion: A non-randomised retrospective study. J Vasc Access. 2021 Nov 11.
- Song IK, Kim EH, Lee JH, Jang YE, Kim HS, Kim JT. Seldinger vs modified Seldingertechniques for ultrasound-guided central venous catheterisation in neonates: a randomised controlled trial. Br J Anaesth. 2018 Dec;121(6):1332-1337.





0 comentarios